Impairment of vision due to damage to the brain in children
Presented on Tuesday 16 December 2008
How does the brain see?
It is well understood that -
- The picture is formed in the eyes
- It is converted into electrical signals which are passed along the optic nerves
- To a pair of relay stations (called the lateral geniculate bodies)
- Then on to the back of the brain (called the occipital lobes) where the signals are processed
The picture is processed in the occipital lobes in terms of clarity (or acuity), contrast, colour and the area which is seen (the visual fields).
So there are parts of this picture which may not be seen if the visual acuity is poor
But they become clear when they are enlarged.
When presenting words or pictures to a child or adult with visual impairment, choose the correct width of the line drawn by the pen for his/her known visual acuity.
This helps to make sure that he/she can see detail in pictures, lines in drawings and the size of letters.
The visual fields - the area over which we see:
- The picture of what we are looking at is formed on the retina in the eyes
- upside down and
- back to front
- It is transferred to the brain in this orientation.
The visual fields and damage to the brain
This means that, if there is damage to the brain, the loss of visual field is
- upside down and back to front with respect to where the damage is
- usually very similar in both eyes.
So that damage to the upper left brain at the back leads to lack of vision in the ... bottom right visual field of both eyes, etcetera.
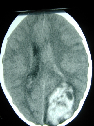
For example bleeding at the back of the brain on one side in this 8 year-old girl caused loss of the field of vision on the opposite side, in both eyes. This is called homonymous hemianopia.

In this example, damage to the top of the brain on both sides soon after birth has caused absence of the lower visual field on both sides in this 6 year-old child.

The ability to see movement is served further forward in the brain
from the occipital lobes
It is possible for this area to still function when the occipital lobe
is damaged. This could explain why some children who do not see due to
brain damage, rock backwards and forwards, in order to create a visual
image of sorts.
However, damage to the movement vision centre can interfere with the ability to see things which are moving (like traffic).
The temporal lobes (shown in blue) store our visual memories, with routes and faces being stored on the right and words, shapes and objects being stored on the left.

So that damage on both sides would interfere with the recognition of both words and faces, for instance on a magazine cover.
The top of the brain at the back (or the posterior parietal lobes) is
the motion planning and the attention unit.
Seeing and doing – the miracle of vision
The ability to see a microphone, and to reach out and touch it is a miracle!
The picture of the microphone is in my brain.
The posterior parietal lobes give our brains the calculations, to bring about visually guided movement. Damage causes optic ataxia which is probably a significant contributor to 'dyspraxia'.
The posterior parietal lobes also allow us to search the visual world, to find what we are looking for, and give attention to it… and to passively ignore the rest of the picture.
This takes place by interaction with the 'executive planning unit' at the bottom of the frontal lobes which are responsible for making the choices.

This links to the motor cortex (in pink), which drives movement of the body, and the frontal areas which drive fast movement of the head and eyes to look at a chosen object.
The image storage and recognition system is conscious and like the hard disc of a computer. It is called the ventral stream,
The visual guidance, search and attentional system is unconscious. It
is like the RAM of a computer, and is called the dorsal stream.
Either can be damaged, the dorsal stream more frequently.
The dorsal stream is the immediate, unconscious, automatic system we use to appraise and move through the visual world. It is commonly damaged.
The ventral stream is the conscious, recognition and orientation system which we are aware of and which processes more slowly. It is damaged less frequently.

These two systems are like two peas in a pod. They work together in harmony. Only when one or other, or both are damaged, does the way in which they work become apparent.
The visual acuity and visual fields may or may not be affected as well.



It is remarkable that the damage is in the same area as the other cases you have just seen.
The last scan, a 12 year-old child, was also unable to recognise her mother or interpret facial expressions. The damage is more extensive. She also has lower damage affecting her ventral stream. (However, in many cases of CVI head scans are normal and do not contribute to management.)
Visual limitations caused by damage to the brain in children include:
Difficulties with impaired primary processing of the image. This may affect:
- visual acuity
- contrast sensitivity
- colour vision
- visual fields
- perception of movement
Those affecting the dorsal stream, impairing
- The ability to give attention to, and thus see, the components of a crowded visual scene - and
- The use of vision to guide movement
Those affecting the ventral stream (which are less common) Involving
- recognition of what is being looked at and
- recognition for route finding


Visual limitations caused by damage tothe brain in children lead to problems with:
Accessing information, whether it is
distant, such as a letter box or a tree
near, such as pictures and writing
With visual guidance of movement, whether
it is
of the upper limbs, to reach out and pick something up
of the lower limbs, to walk freely and confidently
Social interaction. It may be difficult to:
- see someone in a group, owing to visual acuity or visual field loss, or dorsal stream problems
- recognise their face, owing to poor acuity, contrast sensitivity, or agnosia
- see the language within facial expression (for the same reasons)
- even to see a hand, for a hand shake (if it is in an absent lower visual field)
Finding out about the visual acuity, contrast sensitivity, colour vision and visual fields, is carried out by examining functional vision.
However, finding out about how visual field and dorsal stream and ventral stream visual problems interfere with vision can be done both by asking the parents and by carefully watching and interpreting the child's visual behaviour.
Bumping into door frames, and obstacles like street signs, on one side suggests that visual field impairment or inattention on that side is worth looking for.
Leaving food on one side of the plate and missing traffic from one side; missing text on one side and leaving food on the near side of the plate, all suggest such problems.
