British Sign Language Glossaries of Curriculum Terms

BSL App Logo

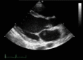
BSL Biology Glossary - heart valve